ما تعريف نزيف الشبكية؟
هو نزيف يحدث داخل العين يؤدي إلى فقدن النظر.

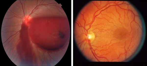
صورة لشبكية طبيعية ( اليمين ) و صورة لشبكية بها نزيف ( اليسار )
ما أسباب حصوله؟
- اعتلال الشبكية بسبب السكري يعتبر السبب الأكثر شيوعا لحدوث نزيف الشبكية.
- انفصال الجسم الزجاجي داخل العين.
- الضربات المباشرة على العين.
- انسداد وريد العين.
هل جميع مرضى السكر أو من تعرض لضربات العين يحصل لهم نزيف الشبكية؟
لا، وإنما فقط إذا كان معدل السكر غير منتظم لفترات طويلة أو كانت الضربة شديدة على العين.
كيف أعرف أن لدي نزيف بالشبكية؟
عند رؤيتك لخيوط حمراء و سوداء داخل العين، أو ظهور عتامة سوداء مثل الستارة تقوم بحجب الرؤية .
كيف تُشخص الحالة؟
عن طريق فحص الطبيب للشبكية وجهاز الموجات فوق الصوتية.

فحص الشبكية
هل هناك علاج؟
نعم ، ويكون ذلك بعلاج السبب الرئيسي للنزيف ثم:
- المتابعة في العيادة مع إمكانية التحسن.
- عمل ليزر للشبكية.
- إعطاء إبر داخل العين.
- التدخل الجراحي لإزالة النزيف.
ما الأمور التي يجب علي فعلها بعد حدوث النزيف؟
- الصلاة جالسا لمدة يحددها الطبيب.
- النوم على وسادة مرتفعة.
- عدم الانحناء.
- عدم رفع أجسام ثقيلة.
- علاج الكحة أو الإمساك الشديد.

